Let's Create
Your Best Smile

Hollywood Smile in Istanbul — save up to 70% compared to UK prices with our all-inclusive packages including accommodation, private transfers, and aftercare.

2195 Ratings

Get a FREE Treatment Plan

Your information is protected and handled in accordance with UK regulations and GDPR.

Planning

Your dental and medical history is reviewed, goals are discussed, and using 3D imaging or digital smile design, you can see a realistic preview of your final smile and choose the colour, shape, and alignment you prefer.

Preparation

Any necessary cleaning, fillings, or minor dental work is done. Teeth are slightly shaped, and impressions are taken to create custom restorations.

Final Phase

Your custom zirconium crowns or veneers are permanently bonded to your teeth, ensuring a proper fit and bite, giving you a bright, natural-looking smile.

All inclusive Treatment Packages

Through NODEMED, you can take advantage of all-inclusive packages for a comprehensive treatment experience, with the option to select your preferred brand and colour, all at competitive pricing.

Hollywood Smile Packages

Zirconium Crowns

£ 2990
  • 24 Zirconium crowns
  • Smile Design & Aesthetic Planning
  • Treatment completed in 4 Days
  • 4-star hotel accommodation (double room + 1 free companion)

Emax Veneers

£ 4700
  • 20 Emax Veneers
  • Smile Design & Aesthetic Planning
  • Treatment completed in 7 Days
  • 4-star hotel accommodation (double room + 1 free companion)
Popular

Discover more than what's listed. Send us a request to explore additional treatment packages tailored to you

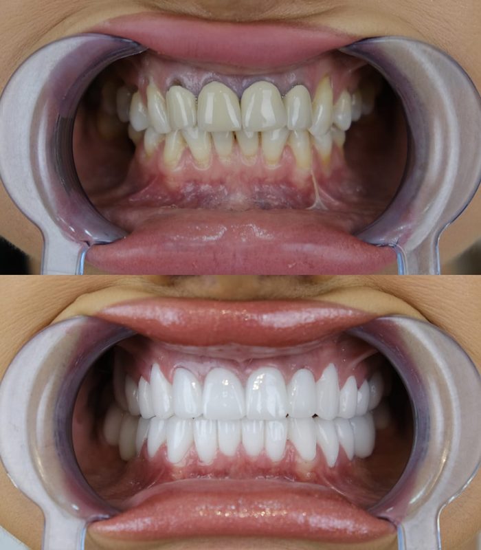
What is a Hollywood Smile?

A Hollywood Smile is a cosmetic dental treatment designed to give you a bright, uniform, and well-aligned smile — inspired by the looks often seen in movies and on celebrities.

In this procedure, zirconium crowns or E-max veneers are placed over your natural teeth to improve shape, size, and alignment, covering imperfections such as discoloration, chips, or gaps.

Crowns are strong, durable, and fully restore damaged teeth.

Veneers are thin shells that cover the front surface of teeth, making them a less invasive option that preserves most of your natural tooth structure.

Patients can choose the colour of their teeth, allowing for a bright, personalized smile.

Smile Gallery

Image 1
Image 1
Image 2
Image 3
Image 4
Image 5
Image 6
Image 7
Image 8
Image 9
Image 10
Image 1
Image 1
Image 2
Image 3
Image 4
Image 5
Image 6
Image 7
Image 8
Image 9
Image 10
Image 13
Image 13
Image 15
Image 16
Image 17
Image 18
Image 19
Image 21
Image 191
Image 20
Image 13
Image 13
Image 15
Image 16
Image 17
Image 18
Image 19
Image 21
Image 191
Image 20

Patient Journey

Our multilingual team is available to support international patients throughout their journey, providing clear and timely communication at each step of the process.For added comfort and convenience, accommodation and airport transfer services can be included in selected all-inclusive packages, depending on the treatment plan.

Istanbul

Vibrant city, excellent dental services

Dental Clinic

Expert care, advanced technology

VIP Transfer

Airport ↔ Hotel ↔ Clinic – Fully arranged

Ramada by Wyndham

Luxury 4★ with Central Location

Dental Clinic in Istanbul

Located in Istanbul’s prestigious Nişantaşı district, the clinic offers international patients high-quality dental care in a central, accessible location. With a modern in-house laboratory and a skilled team of specialists, it provides efficient, precise, and well-coordinated treatments, including smile design and dental implants, welcoming patients from Europe, the U.S., Canada, Australia, and Russian-speaking countries.

NODEMED works closely with its partner clinic to offer clearly structured treatment packages, providing transparency and guidance from the initial enquiry through to the completion of treatment and return home. Our goal is to make the process simple, organised, and stress-free for patients choosing to receive dental care abroad.

Patient privacy and data protection are a priority for NODEMED. We operate in compliance with GDPR, ensuring that personal information is handled securely and with care at all times.

Crowns VS Veneers

Pack Coverage Purpose Tooth Prep Strength / Durability Aesthetics Ideal For
Zirconium Crown Pack
Covers entire tooth
Restores damaged, weak, or decayed teeth
Requires more tooth removal
Very strong and durable
Very natural
Teeth with large fillings, cracks, or severe damage
Emax Crown Pack
Covers entire tooth
Restores damaged, weak, or decayed teeth
Requires more tooth removal
Strong
Very natural
Teeth with moderate damage, cosmetic improvement
Emax Veneer Pack
Covers only front surface
Mainly cosmetic; improves appearance
Minimal tooth removal
Strong, mainly for appearance
Very natural
Teeth needing whitening, reshaping, or closing gaps

Why Is a Hollywood Smile More Affordable in Turkey?

Turkey has become a leading destination for Hollywood Smile treatments, offering high-quality dental care, advanced technology, and experienced cosmetic dentists at significantly lower costs than countries like the UK or the US.

The main reasons for lower costs are:

Government Support: Incentives and support for the healthcare sector help reduce overall treatment expenses.

Currency Advantage: The Turkish Lira provides a strong cost advantage for patients earning in GBP, USD, or EUR.

Lower Living Costs: Staff, clinic, and operational costs are lower in Turkey, making Hollywood Smile treatments more affordable without compromising quality.

Location Full Hollywood Smile Cost
Turkey
£3,000 – £5,000 (all-inclusive)
United Kingdom
£12,000 – £20,000+
United States
$18,000 – $42,000+

Top-Rated Testimonials:
Trusted Reviews from Leading Websites

Helia E.
Helia E.
I give this clinic 5 stars because there are no more stars to give. The doctors were ethical, professional, and truly prioritized my wellbeing over profit. The result is beautifully natural teeth that exceeded my expectations. The entire staff was kind, considerate, and supportive throughout the process. I am very thankful and highly recommend this clinic.
Mariia Y.
Mariia Y.
Hello, I would like to say a huge thank you to the clinic and its team for their work! I am very pleased with the result. Everything was fast, quality, and comfortable, starting with the transfer at the airport. The doctors have golden hands. I will recommend the clinic to all my acquaintances and friends.
Sonat Yüce
Sonat Yüce
I had an amazing experience at the dental clinic. Not only was the service top-notch and professional, but the transparency in pricing impressed me. I paid exactly what was initially quoted, with no hidden or extra fees. Airport transfer and hotel accommodations were convenient and made me feel special. Customer satisfaction is clearly a top priority for this clinic.
Agnieszka Blaszczyk
Agnieszka Blaszczyk
My husband and I wholeheartedly recommend this clinic. Their office and service are top-notch. Thank you for gradually getting my teeth in order. After a few visits, I can say that visiting the dentist no longer feels unpleasant or painful. I also appreciate your patience in answering all my questions. We came to Turkey without a second thought, and it was the best choice. We thank the entire team for their work and organizing everything so quickly.
Kuralay
Kuralay
Thanks to the clinic staff. The service is top-notch. A special thank you to Dr. Taha, who professionally and painlessly made my teeth beautiful. The price and quality are excellent.
Engin Agdogan
Engin Agdogan
Great experience! My life literally changed. Now I smile with great self-confidence. I received professional and holistic treatment throughout the entire process. Many thanks to all clinic staff. You are all Awesome.
Mike Schofield
Mike Schofield
For anyone looking to get the smile they have always dreamed of, this is the place to go. The dentist is not only skilled but also an incredible artist who genuinely takes his job to the max. The work he does is phenomenal. He truly goes the extra mile to bring your dream to reality, along with his amazing and professional staff.
Irina Frank
Irina Frank
The service was very good, the doctors were very attentive. They provided transportation to and from the clinic. A very attentive translator was available for communication with the doctor. After a complex surgery, I recovered quickly. By the second day, the swelling had gone down and I was able to speak. I really lked the clinic. Thank you all for your participation.
Valeria Radkevich
Valeria Radkevich
Good afternoon, I want to share my impressions 🥰 The clinic is very beautiful 😍 The staff is very friendly and pleasant. ☺️The doctors are very skilled, they do their job quickly and efficiently. I was very pleased, thank you very much🫶🏻
Lizi Gena
Lizi Gena
I visited the beautiful and innovative clinic. The staff is perfect!! The doctor is special and gentle! Excellenet treatment!! Clean and up-to-date work! Unlike dental treatments in Israel! A good and safe feeling!! There is someone to talk to!! Simply fun! Highly recommend! Worth a trip to Turkey!! And by the way, there is a Hebrew speaker who accompanied us throughout the process and at every moment!
Özgür Y.
Özgür Y.
Hello, I would like to say a huge thank you to the clinic and its team for their work! I am very pleased with the result! Everything was fast, quality and comfortable, starting with the transfer at the airport! Doctors with golden hands!!! I will recommend to all my acquaintances and friends:)))

Explore Istanbul

02 update[1]
work image 455
04
5
03